Cum se simte durerea de șold?
Durerea de șold poate să apară sub formă de durere ascuțită sau durere surdă. O durere ascuțită, ca o înțepătură sau junghi, poate fi asociată cu leziuni sau inflamații acute. Pe de altă parte, durerea surdă poate indica o afecțiune cronică sau degenerativă.
Totodată, durerea de șold poate apărea atunci când sunteți în repaus sau în mișcare. Această diferențiere poate oferi indicii importante privind cauza durerei.
Zonele sensibile sau inflamate în jurul șoldului pot să apară în anumite afecțiuni, cum ar fi bursita sau tendinita. Umflarea și roșeața pot însoți aceste simptome.
Durerea de șold poate limita mișcarea normală, cauzând dificultăți în a vă apleca, a vă ridica piciorul sau a merge. Acest lucru poate afecta semnificativ activitățile zilnice și calitatea vieții.
Uneori, durerea de șold poate radia către zona inghinală, fese sau genunchi. Această senzație de iradiere poate fi un indicator important pentru medic în stabilirea diagnosticului corect.
Un alt aspect important este durerea care interferează cu somnul. Durerea de șold care persistă sau se intensifică în timpul nopții poate semnala diverse probleme, cum ar fi artrita.
Este important să comunicați cu un medic dacă manifestați durere de șold persistentă sau severă. Diagnosticarea corectă este esențială pentru a iniția un plan de tratament adecvat, care poate include terapie fizică, medicamente sau, în cazuri mai severe, intervenții chirurgicale. Durerea de șold nu ar trebui ignorată, iar abordarea promptă poate contribui la ameliorarea suferinței și la restabilirea unei vieți active și sănătoase.
Tipuri de durere de șold
Durerea de șold este o problemă comună, afectând o varietate de persoane de diferite vârste și stiluri de viață. Tipurile de durere de șold pot varia în funcție de cauzele subiacente și simptomele asociate. Avem, așadar:
- Durere acută: o durere bruscă și severă poate indica adesea o leziune sau o problemă recentă, cum ar fi o entorsă sau o ruptură musculară.
- Durere cronică: durerea care persistă timp îndelungat, de obicei, mai mult de șase luni, poate indica afecțiuni cum ar fi osteoartrita sau artrita reumatoidă.
- Durere înțepătoare: asemănătoare unei înțepături sau unui junghi, poate sugera leziuni ale mușchilor, ligamentelor sau tendoanelor.
- Durere surdă: durerea continuă, surdă, poate fi asociată cu inflamații cronice sau degenerare, cum ar fi osteoartrita.
- Durere în articulația șoldului: frecvent asociată cu afecțiuni precum osteoartrita sau necroza capului femural.
- Durere în zona înconjurătoare: unele probleme pot cauza durere în fese, inghinal, coapsă sau genunchi, indicând o posibilă radiație a durerii din zona șoldului.
- Durere la mers: durerea care apare în timpul mersului sau a activităților fizice poate indica probleme structurale sau funcționale în articulația șoldului.
- Durere în repaus: Durerea care persistă în repaus poate fi semnul unor afecțiuni cum ar fi artrita reumatoidă sau bursita.
- Durere nocturnă: disconfortul care interferează cu somnul poate semnala artrita sau alte afecțiuni degenerative.
- Durere ziua: durerea care se agravează în timpul activităților zilnice poate indica leziuni ale mușchilor sau tendoanelor.
- Durere la îndoire: pot indica probleme cu meniscul sau cu ligamentele în jurul șoldului.
- Durere la ridicarea greutăților: posibil să fie asociată cu leziuni musculare sau articulare din cauza efortului.
- Durere radiculopatică: puteți simți durere în jos pe picior, cunoscută și sub numele de sciatică, cauzată de compresia nervului sciatic.
Este important să discutați cu un medic dacă experimentați oricare dintre aceste tipuri de durere de șold. Diagnosticarea corectă a cauzei este esențială pentru a restabili sănătatea articulației șoldului.
Cauzele durerii de șold
Durerea de șold poate avea multiple cauze, variind de la leziuni traumatice la afecțiuni degenerative sau inflamatorii. Este esențial să înțelegem aceste cauze pentru a obține un diagnostic corect și un tratament adecvat. Iată cauzele cele mai comune ale durerii de șold:
1. Osteoartrita este una dintre cele mai frecvente cauze ale durerii de șold, mai ales la persoanele în vârstă. Aceasta presupune deteriorarea cartilajului care acoperă capul femural și cotilul acetabular, ceea ce duce la frecare și durere la nivelul articulației șoldului.
2. Artrita reumatoidă este o boală autoimună care poate afecta articulațiile, inclusiv șoldul. În acest caz, sistemul imunitar atacă greșit membranele sinoviale, cauzând inflamație și durere.
3. Bursita apare atunci când bursele, sacii mici de lichid care amortizează articulațiile, se inflamează. Aceasta poate apărea la nivelul șoldului și provoacă durere la mișcare sau la atingere.
4. Tendinita se referă la inflamația tendoanelor, iar atunci când afectează tendoanele din zona șoldului, poate cauza durere și disconfort. Este frecventă la sportivii care practică activități care implică mișcări repetate ale șoldului.
5. Necroza capului femural reprezintă moartea țesutului osos în zona capului femural, ceea ce poate determina colapsul articulației șoldului și durere severă.
6. Leziunile musculare, cum ar fi entorsa sau ruptura, pot cauza durere intensă la nivelul șoldului. Aceste leziuni pot apărea în urma unor mișcări bruște sau a efortului excesiv.
7. Fracturile de șold, mai ales la persoanele în vârstă, pot apărea în urma căderilor sau a traumelor și necesită adesea intervenții chirurgicale pentru tratare.
8. Sciatica este cauzată de iritarea nervului sciatic, care poate radia durerea de la șold în jos pe picior. Herniile de disc sau stenoza spinală pot contribui la dezvoltarea sciaticii.
9. Boala Legg-Calvé-Perthes este o problemă de sănătate ce afectează copiii, determinând deteriorarea capului femural din cauza lipsei de aport de sânge, ceea ce poate provoca durere și dificultăți în mișcare.
10. Tumorile osoase, fie benigne, fie maligne, pot să apară în zona șoldului și să cauzeze durere, în special în timpul nopții.
Este crucial să consultați un medic dacă resimțiti durere de șold persistentă sau severă.
Tratament pentru durerea de șold
Durerea de șold poate afecta semnificativ calitatea vieții și capacitatea de mișcare. Există diverse opțiuni de tratament, adaptate cauzei specifice a durerii și stadiului acesteia.
Tratament medicamentos
- Antiinflamatoare Non-Steroidiene (AINS): ajută la reducerea inflamației și disconfortului.
- Analgezice: pot fi utilizate pentru ameliorarea durerii.
- Medicamente pentru boala articulară: în cazul afecțiunilor precum osteoartrita sau artrita reumatoidă, medicamentele modulatoare ale bolii pot fi recomandate.
Fizioterapie
- Exerciții specifice: programul de exerciții personalizat, axat pe întărirea musculaturii din jurul șoldului, poate îmbunătăți stabilitatea și funcționalitatea articulației.
- Terapie cu gheață și căldură: alternarea aplicării gheții și căldurii poate reduce inflamația și relaxa mușchii.
Modificări ale stilului de viață
- Gestionarea greutății: reducerea greutății corporale poate reduce stresul asupra articulației șoldului.
- Evitarea pozițiilor stresante: limitarea timpului petrecut în poziții care pun presiune asupra șoldului, cum ar fi statul prelungit în picioare sau mersul prea mult timp, poate fi benefică.
Dispozitive de asistență
- Baston sau betelie: pot oferi sprijin suplimentar și stabilitate în timpul mersului.
- Dispozitive de ajutor pentru somn: modificări ale poziției de dormit și utilizarea pernelor ortopedice pot reduce disconfortul nocturn.
Injecții articulare
- Injecții cu corticosteroizi: pot reduce inflamația și durerea în articulația șoldului.
- Injecții cu acid hialuronic: pot fi utilizate pentru lubrifierea și amortizarea articulației.
Intervenție chirurgicală
- Artroplastia de șold: în cazul deteriorării severe a articulației, poate fi recomandată înlocuirea articulației cu o proteză de șold.
Terapii alternative
- Acupunctura: unele persoane raportează reducerea durerii prin acupunctură.
- Masaj Terapeutic: poate ajuta la relaxarea mușchilor și ameliorarea disconfortului.
Un plan de tratament eficient pentru durerea de șold ar trebui să fie individualizat și să abordeze atât simptomele cât și cauza subiacentă. Consultarea unui medic este esențială pentru a stabili cel mai potrivit plan de tratament în funcție de situația specifică a fiecărui pacient.
Analize recomandate în durerea de șold
Atunci când durerea de șold devine persistentă sau severă, efectuarea anumitor analize și teste poate fi esențială pentru diagnosticarea corectă și elaborarea unui plan de tratament eficient. Iată câteva analize recomandate în gestionarea durerii de șold:
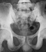
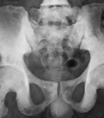
- Radiografie: o radiografie a șoldului poate oferi imagini detaliate ale oaselor și articulațiilor. Aceasta este utilă pentru identificarea fracturilor, deteriorării articulare sau semnelor de osteoartrită.
- Tomografie computerizată: CT-ul oferă imagini tridimensionale detaliate ale structurilor osoase din jurul articulației șoldului. Este util în evaluarea leziunilor osoase, a structurilor articulare și a altor afecțiuni.
- Rezonanța magnetică: RMN-ul furnizează imagini detaliate ale țesuturilor moi, cum ar fi mușchii, ligamentele și tendoanele. Este util în detectarea leziunilor musculare, tendinitei sau altor afecțiuni ale țesuturilor moi.
- Analize de sânge: analizele de sânge pot ajuta la identificarea cauzelor inflamației sau a afecțiunilor autoimune care pot contribui la durerea de șold. Testele pentru markeri inflamatori și factori reumatoidi sunt adesea incluse.
- Scintigrafie osoasă: această analiză presupune administrarea unei substanțe radioactive care se acumulează în oasele afectate. Scintigrafia osoasă poate evidenția zonele cu creștere anormală a țesutului osos, cum ar fi în cazul unei infecții sau al unei necroze a capului femural.
- Puncție articulară (artrocenteză): această procedură implică extragerea unei mostre de lichid sinovial din articulație pentru analiză. Poate ajuta la identificarea infecțiilor, inflamațiilor sau altor afecțiuni.
- Electromiografie: pentru durerea de șold asociată cu disfuncții nervoase, EMG poate fi utilă pentru evaluarea activității electrice a mușchilor și a funcției nervoase.
- Ecografie articulară: ecografia poate oferi imagini în timp real ale articulației șoldului și a țesuturilor înconjurătoare. Este utilă în evaluarea inflamațiilor, tendinitelor sau a altor leziuni.
Un diagnostic precis în cazul durerii de șold necesită, adesea, o abordare multidisciplinară și utilizarea mai multor metode de diagnostic. În baza rezultatelor acestor analize, medicul poate stabili un plan de tratament personalizat pentru a gestiona și trata durerea de șold în mod eficient.
Cum previi durerea de șold?
Prevenirea durerii de șold este esențială pentru menținerea sănătății articulației și a funcționalității corespunzătoare. Iată câteva sfaturi care pot ajuta la prevenirea disconfortului în zona șoldului:
- O greutate corporală sănătoasă reduce presiunea exercitată asupra articulației șoldului. Adoptarea unui stil de viață activ și o alimentație echilibrată pot contribui la menținerea greutății corporale în limite normale.
- Programul de exerciții fizice regulat, care include întărirea musculaturii, flexibilitatea și exercițiile cardio, ajută la menținerea sănătății articulațiilor. Activități precum mersul pe jos, înotul sau ciclismul pot fi benefice pentru șold.
- Când ridicați obiecte grele, asigurați-vă că îndoiți genunchii și vă mențineți spatele drept pentru a reduce presiunea asupra articulației șoldului.
- Alegeți echipament adecvat atunci când practicați activități fizice. Încălțămintea potrivită și echipamentul de protecție pot ajuta la prevenirea leziunilor.
- Evitați statul prelungit în aceeași poziție. Faceți pauze și schimbați poziția pentru a evita rigiditatea articulației șoldului.
- Încălzirea adecvată înainte de exerciții poate crește fluxul sanguin către mușchi și articulații, pregătindu-le pentru activitatea fizică și reducând riscul de leziuni.
- O postură corectă poate reduce presiunea asupra articulației șoldului. Asigurați-vă că șoldurile, genunchii și picioarele sunt aliniate atunci când stați sau mergeți.
- Unele suplimente, cum ar fi vitamina D și calciul, pot contribui la menținerea sănătății oaselor și a articulațiilor.
- Stresul excesiv poate contribui la tensiunea musculară și disconfortul în zona șoldului. Practicarea tehnicii de gestionare a stresului, cum ar fi meditația sau yoga, poate fi benefică.
Adoptarea acestor practici preventive în viața de zi cu zi poate contribui semnificativ la menținerea sănătății articulației șoldului și la prevenirea apariției durerii. Este important să consultați un medic pentru sfaturi personalizate și evaluarea stării de sănătate a articulației șoldului.
